NEWS CENTER
HOSPITAL SITUATION
THE CONSTRUCTION OF BETWEEN THE PARTY AND THE MASSES
DEPARTMENTS AND EXPERTS
MANAGEMENT BY
Medical services
Special column
Health science and education
KEY DISCIPLINE
SCIENTIFIC RESEARCH AND TEACHING
TALENT RECRUITMENT
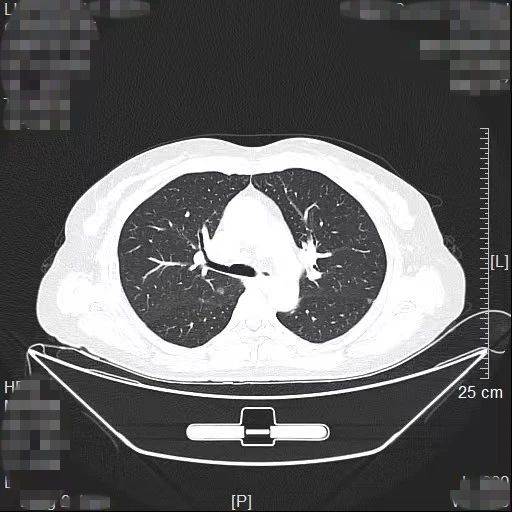
近日,我院胸部肿瘤外科方卫民主任医师团队通过“针孔消融+单孔微创”的杂交手术,为患者同时解除2个高危肺结节,手术切口仅为一个针眼加一个3cm的微创切口。





关闭